歯槽膿漏の7つの治し方とは?自宅でできる予防法や治療薬の効果も解説

こんにちは!大阪 梅田のえみは総合歯科、理事長の加藤直之です。
歯周病の中でも最も症状が進行した状態である歯槽膿漏。最終的には歯が抜け落ちる可能性があるので、早急な治療が必要です。歯周病菌を完全に消すことはできないので、症状を緩和させ、歯周ポケットを4mm未満にすることが歯槽膿漏治療におけるゴールと言えます。
そこで本記事では、進行度合いで変わる歯槽膿漏の治し方について解説します。自宅でできる歯槽膿漏の予防法も掲載しているので、歯槽膿漏を未然に防ぎたい方や自身の症状に合った治療法が知りたい方は、ぜひ参考にしてみてください。
また、当院での歯槽膿漏治療は、下記のページで詳しく紹介しています。歯槽膿漏治療の流れや費用が気になる方は、合わせてチェックしましょう。
目次
歯槽膿漏とは?歯周病が進行した状態

細菌の感染によって引き起こされ、歯の周りや歯茎に炎症を起こし、進行すると歯を支えている骨が溶けていく病気が、歯周病です。歯槽膿漏とは、歯周病の進行が進み、歯茎から膿が出始めた状態のことを指します。
歯周病は進行するにつれて、以下のような段階を踏んでいきます。進行に伴い、症状も悪化していき、最終的には歯が抜ける事態にまで発展する恐れがあるのです。
日本人が歯を失う原因の第一位は歯周病であり(※1)、世界的に最も蔓延している感染病と言われています。歯の健康状態は様々な病気にも直結しているので、歯槽膿漏を放置せず、早急に歯科医院を受診する必要があるのです。
歯槽膿漏の治し方は進行度合いで変わる

歯槽膿漏の治し方は、進行度合いに関わらず最初に行われる「基本治療」と、進行度合いに応じて採用される「外科治療」に大きく分かれます。基本治療の内容は、歯槽膿漏の原因となっている歯垢や歯石、歯周病菌の除去、噛み合わせの調整などです。
自宅で歯垢の除去(プラークコントロール)が正しく行えるように、ブラッシング指導も行われます。しかし、歯槽膿漏を含む中等度以上の歯周炎になると、基本治療だけでは歯周ポケットの深さが改善されず、自宅でのブラッシングで除去できない細菌が出てきてしまう場合があるのです。
そのため、進行が進んだ歯槽膿漏に関しては、外科治療によって歯周ポケットの深さを減少させます。また、再生医療によって、歯槽膿漏で失われた歯槽骨や歯周組織の再生を図る場合もあります。
歯周病が悪化した歯槽膿漏の7つの治療法

歯槽膿漏の治療法は、歯周病菌自体を減らす原因治療を行うのか、歯槽膿漏のリスクを下げる予防治療を行うのかによっても異なります。歯槽膿漏の主な治療法は、以下のとおりです。
- 精密検査・カウンセリング
- レーザー治療
- イリゲーション
- スケーリング
- ブラッシング
- ルートプレーニング
- トータルヘルスプログラム
それぞれ詳しく見ていきましょう。
精密検査・カウンセリング
歯槽膿漏治療の最初に行われるのが、精密検査とカウンセリングです。精密検査では、以下のような検査を行い、歯肉・歯槽骨の状態や歯周病菌の存在を確認します。
カウンセリングでは、患者様の悩みや心配事を解消するため、歯科医師と患者様でコミュニケーションをとります。治療方針や期間、費用について擦り合わせるのも目的の一つです。
レーザー治療
歯周病菌の温床になっている歯垢や歯石を除去をするために、レーザー治療が行われる場合があります。レーザー治療は、健康な周囲の組織を傷つけることなく、患部に直接アプローチできるのが特徴です。レーザー治療の主なメリットを紹介します。
- 歯肉の痛みや炎症を抑えられる
- 歯周ポケットの奥深くまで、レーザーの光や熱が届く
- 患部が早く治癒する
- 保険適用内で受けられる
また、歯科治療で扱われるレーザーは、熱エネルギーを発するので、治療箇所以外に照射しないよう細心の注意が必要です。レーザー治療の種類や費用の相場が知りたい方は、こちらの記事も参考にしてみてください。
関連記事:歯周病のレーザー治療とは?進行度別の費用やメリット・デメリットも解説
イリゲーション
歯ブラシでは届かない歯周ポケットに潜む細菌を薬液で洗浄する治療法が、イリゲーションです。イリゲーションは、細菌を減少させるだけでなく、炎症を抑える効果もあります。
歯科医院によっては薬液にポリリン酸を加えている場合があり、骨や歯周組織の再生も期待できます。また、ポリリン酸の効果によって、痛みや腫れを抑えることも可能です。
スケーリング
スケーリングでは、スケーラーと呼ばれる器具を用いて、歯の表面に付着した歯垢や歯石、バイオフィルムを除去します。スケーラーの種類は、以下のとおりです。
ブラッシング
毎日の歯磨きで歯垢をしっかり除去できるよう、実践を交えて、歯科衛生士がブラッシング方法を指導します。歯槽膿漏にならないためには、日々の正しいブラッシングが欠かせません。歯垢が溜まったまま放置していると、歯周病菌は増殖していき、いずれ歯槽膿漏を引き起こします。
一般の方のブラッシングでは、60~70%程の磨き残しがあると言われており、「磨いている」つもりでも「磨けていない」ことが大半です。
ルートプレーニング
中等度以上の歯周病で採用される治療法が、ルートプレーニングです。歯周病菌によって汚染された歯根の表面を器具で削り取り、滑らかにします。一般的には、歯石除去を行うスケーリングの後に行われます。
歯槽膿漏を含む中等度以上の歯周病では、歯周ポケットの中の歯垢が歯石化していることがほとんどです。歯根面に歯垢が付着すると、汚染セメント質が発生します。汚染セメント質がある状態で歯石を除去しても、歯肉は歯根にくっつきづらいです。
そのため、歯石除去の後にルートプレーニングを行うことで、汚染セメント質を除去し、歯肉と歯根の付着を促して歯垢が溜まりにくい状態を作り出します。
トータルヘルスプログラム
THP(トータルヘルスプログラム)治療とは、歯周病菌の数をコントロールし、歯周病菌の増殖を根本的に抑制する治療法です。THP治療は他の歯周病治療と異なり、腸内細菌に対してもアプローチを行います。THP治療の主なメリットは、以下のとおりです。
- 痛みをほとんど伴わない
- 歯周病の再発リスクを大幅に減らせる
- 通院回数が6回~10回程度で終わる
- 外科処置を行わない
THP治療は、厚生労働省に認可された一部のクリニックでしか導入しておらず、当院は南大阪のエリアで唯一、THP治療が受けられます。また、当院では遺伝子検査も実施しており、国際トータルヘルスプログラム学会の会員で遺伝子検査まで導入している歯科医院は、全国でも約50件しかありません。
歯槽膿漏の治し方に関する知恵袋を紹介

実際に歯槽膿漏の治し方について知恵袋に相談し、解決した方の相談事例を紹介します。歯槽膿漏改善を謳っている歯磨き粉の効果が気になる方も、ぜひ参考にしてください。
(引用元:歯槽膿漏は病院ではどんな治療をするのでしょうか?軽度のものなら市… – Yahoo!知恵袋)
歯科医院では、レントゲンや遺伝子、唾液などによる検査を実施し、歯槽膿漏の進行度合いを判断します。自宅では歯槽膿漏の治療はできず、症状を多少緩和する程度です。信頼できる歯科医院で適切な治療を受けましょう。
自宅でできる歯槽膿漏の5つの予防法

歯周病菌を完全に口内から消すことは難しいので、歯槽膿漏にならないための予防が欠かせません。歯槽膿漏の主な予防法は、以下のとおりです。
- 生活習慣を改善する
- 自分に合った歯ブラシを使う
- 歯垢除去成分が入った歯磨き粉を使う
- 乳酸菌が入った食品を摂取する
- 歯科医院で歯周病予防治療を受ける
それぞれ詳しく見ていきましょう。
生活習慣を改善する
悪い生活習慣を送っていると、体の免疫機能が弱り、歯槽膿漏が悪化しやすくなります。以下のような対策を行い、生活習慣の改善を試みてください。
- ストレスを溜め込まず、適度に発散する
- 栄養バランスを意識した食生活を行う
- 睡眠不足を解消する
- よく噛んで食べる
- タバコを吸わない
自分に合った歯ブラシを使う
自分に合った歯ブラシ選びは、ブラッシング方法と同じくらい重要です。自分に合わない歯ブラシを使っていると、汚れを上手く掻き出せず、磨き残したプラークから歯周病菌が増殖します。歯ブラシを選ぶ際は、以下のようなポイントに気をつけましょう。
- 毛の硬さのタイプは「ふつう」
- 柄の形はストレートで突起がないタイプ
- ヘッドは小さいもの
硬さ「ふつう」の歯ブラシは、歯や歯茎のすり減りを抑えた上で、しっかり歯垢を落とせます。また、柄の形は持ちやすさを重視し、ヘッドは小さいほうが汚れが落ちやすいです。
歯垢除去成分が入った歯磨き粉を使う
歯磨き粉の役割は、歯槽膿漏の原因となる歯垢を効率的に除去することです。商品によっては、WB2000乳酸菌といった歯垢除去成分や塩化セチルピリジニウム・イソプロピルメチルフェノールなどの殺菌成分を配合したタイプもあるので、ぜひ参考にしてみてください。
乳酸菌が入った食品を摂取する
腸内環境を整えることで有名な乳酸菌は、歯周病予防にも効果があります。以下のような種類の乳酸菌を摂ることで、歯周病が進行しにくい口内を作り上げることができるでしょう。
歯科医院で歯周病予防治療を受ける
自宅でできる予防法と併せて、歯科医院で専門的な予防治療を受けることも重要です。歯科医院では、セルフケアでは除去できない歯石を取り除いたり、歯周病の検査を行ったりします。また、ブラッシングの指導をしてもらうことで、日々のケアでより効率的に歯周病を予防できるようになるでしょう。
当院においても、歯周病にかからないための予防治療を保険適用内で行っております。精密検査によって口内の状態を正確に把握した上で、適切な治療法を提案させていただきます。
歯槽膿漏の治し方に関するよくある質問

最後に、歯槽膿漏の治し方について、よくある質問を紹介します。
- 歯槽膿漏の症状が分かる写真は?
- 自宅でできる歯槽膿漏の治し方は?
- 歯磨き粉を使った歯槽膿漏の治し方は?
- 歯槽膿漏の治し方として塩を塗るのは正しい?
- 治療薬を使う歯槽膿漏の治し方は効果がある?
それぞれ詳しく見ていきましょう。
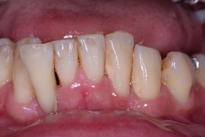
歯槽膿漏の症状が分かる写真は?

歯槽膿漏によって歯槽骨が溶け、歯茎が下がることで、歯が長く見えています。また、露出した歯根の周りには歯石が付着し、歯茎が腫れているのが分かるでしょう。歯槽骨が吸収されることで、歯がぐらつき、歯並びの悪化も招いてしまいます。
自宅でできる歯槽膿漏の治し方は?
自宅で歯槽膿漏を完全に治すことはできません。歯槽膿漏に効果がある歯磨き粉を使ったとしても、症状が一時的に緩和するだけです。自宅でできる歯磨き粉やマウスウォッシュなどの歯周病への効果について気になる方は、以下の記事もチェックしてみてください。
関連記事:歯周病の治し方は?自宅での歯磨きでは治せない理由と3つの予防方法
歯周病菌の温床となる歯石は、歯科医院でのみ除去できます。歯槽膿漏を放置していると、時間の経過とともに進行し、歯を抜歯せざるをえない事態にもなりかねません。
歯磨き粉を使った歯槽膿漏の治し方は?
歯磨き粉は、あくまでも歯垢を効率的に除去することが目的なので、歯槽膿漏を完治させることはできません。歯周病菌の増殖を根本的に抑えるためには、歯科医院で治療を受ける必要があります。
歯磨きには、歯槽膿漏予防を目的とした歯垢除去成分や殺菌成分が配合された商品も販売されているので、一時的な効果は期待できるかもしれません。
歯槽膿漏の治し方として塩を塗るのは正しい?
昔は塩が殺菌や消毒に使われていましたが、歯茎に塩を塗りつけるだけでは、効果は期待できません。歯周病菌を殺せないだけでなく、逆に腫れが酷くなる可能性もあります。歯槽膿漏を治すには、歯科医院で適切な治療を受けてください。
治療薬を使う歯槽膿漏の治し方は効果がある?
歯周病菌を死滅させると言われている内服薬に「ジスロマック」があります。ジスロマックは、ファゴザイトデリバリーという性質によって、感染局部に対して強い抗菌力を発揮します。
ただし、歯周病菌が潜む歯垢は様々な菌が集合している膜によって覆われているため、抗生物質が歯周病菌まで届かない場合も多いです。特に、歯槽膿漏のように進行が進んだ歯周病を抗生物質の力だけで治療するのは、無理があると言えるでしょう。
まとめ|歯槽膿漏の治し方は歯科医院で相談しよう

歯周病が重度に進行した状態である歯槽膿漏の治し方は、進行度合いによって様々です。進行が軽度であれば、レーザー治療やスケーリングといった方法で歯垢・歯石の除去を行います。それでも改善しない重度の場合は、外科処置や再生治療を行うこともあります。
歯槽膿漏が改善したとしても、歯周病菌を完全に殺すことは難しいので、日々の予防が欠かせません。歯科医院で定期的なクリーニングを受けたり、正しいブラッシングを行ったりすることで、健康的な口内環境を保ちましょう。
当院は、歯周病菌を根本的に治療するTHP治療において、全国的に約50件ほどしかない遺伝子検査まで導入しているクリニックです。当院の歯槽膿漏の検査方法や治療内容について気になる方は、下記のページをご覧ください。
