歯周病の初期症状とは?5段階の進行度別の症状や治療・予防法も解説

こんにちは!大阪 梅田のえみは総合歯科、理事長の加藤直之です。
歯を失う原因として最も多い歯周病。歯の脱落を防ぐためには、早期に発見し、治療する必要がありますが、歯周病は初期症状が出にくいという特徴があります。症状が顕著に現れる前に、歯科医院を受診することが重要です。
そこで本記事では、歯周病の初期から重度までの症状について解説します。初期の歯周病を悪化させる習慣や治療法も掲載しているので、歯周病を発症している疑いがある方は、自身の症状と照らし合わせて、ぜひ参考にしてみてください。
また、当院での歯周病治療は、下記のページで詳しく紹介しています。初期から重度までの各治療法や費用が気になる方は、合わせてチェックしましょう。
目次
歯周病とは?初期症状が分かりづらい病気

「沈黙の病気」とも呼ばれる歯周病は、初期症状がほとんどなく、ゆっくりと進行していく病気です。歯茎の痛みやぐらつきといった症状が現れた頃には、歯を支える骨の破壊が進んでいます。ただし、症状の進行速度は常に一定ではありません。
抵抗力が弱まり、歯周病原菌の力が強くなる「活動期」には、症状が顕著に現れます。抵抗力が強まると「静止期」に入り、症状の進行が一時的に緩やかになるので、症状が落ち着いたと勘違いする方もいるでしょう。そのまま、受診せずに放置していると歯を抜歯せざるを得ない事態にまで発展する可能性があるのです。
厚生労働省の調査では、55歳を超えると二人に一人が歯周病を患っているという統計が得られました(※1)歯周病を発症しないためには、毎日のセルフケアや定期メンテナンスで口内環境を常に清潔に保つ必要があります。
※1参考:令和4年 歯科疾患実態調査結果の概要
歯周病を発症する主な原因
歯周病の原因は、歯周病原菌による感染です。口の中には約400~700種類の細菌が住んでいると言われていますが、歯周病原菌も唾液を介して口の中に入ってきます。一度住み着いた歯周病原菌は、食べ残しなどをエサにして繁殖し、プラークや歯石になります。
このプラークや歯石にいる歯周病原菌が毒素を産生することによって、歯茎に炎症を引き起こすのです。そのため、歯周病原菌に感染したからといって必ずしも発症するわけではなく、繁殖するのに好都合な条件が整った時に、歯周病は発症します。
歯周病の末路は全身疾患
「歯の1本や2本くらい」と安易に考えていると、後悔することになりかねません。歯周病は、全身疾患のリスクをはらんでいる病気でもあります。歯周病原菌が産生する毒性物質は、歯茎の血管を通して全身に巡ります。
歯周病が関係している主な全身疾患は、以下のとおりです。
[table “160” not found /]上記以外にも、呼吸器疾患や慢性腎臓病、肥満、メタボリック症候群、COVID-19など、様々な疾患との関係性が近年報告されています。歯周病と全身疾患との関係について、詳しく知りたい方は、こちらの記事も参考にしてください。
関連記事:歯周病と全身疾患とのつながりとは?疾患の特徴と歯周病予防について解説
【進行度別】歯周病の症状はどのように遷移する?

歯周病は以下のような段階を踏んで、進行していきます。重症化すると抜歯を余儀なくされる場合もあるので、日頃からセルフチェックをして、症状の変化を見逃さないでください。
- 健康的な歯茎
- 初期の歯肉炎
- 軽度の歯周炎
- 中等度の歯周炎
- 重度の歯周炎
それぞれの症状を詳しく見ていきましょう。
健康的な歯茎
歯と歯茎の隙間が1~2mmであれば、健康的な状態と言えます。歯茎の色は綺麗なピンク色です。また、歯と歯の間にある歯間乳頭と呼ばれる歯肉は、はっきりとした三角形になっています。歯を支える骨と歯が頑丈に結合しているため、歯のぐらつきもありません。
歯茎の表面には、ステップリングと呼ばれるミカンの皮のような小さなくぼみが見られます。歯茎が炎症を起こすと、ステップリングはなくなるので、健康な状態かを見分けるための良い指標になるでしょう。
初期の歯肉炎
歯茎が炎症を起こしている状態の歯周病が、歯肉炎です。歯肉炎になると、歯と歯茎の間に2〜3mmの隙間ができます。炎症が起きている歯茎は、赤みがかった色になり、触るとぷよぷよしてきます。歯磨きの際に、軽い刺激でもすぐに出血するのが特徴です。
歯周病は、初期段階である歯肉炎の時に治すことが重要です。歯槽骨の破壊が起こっていないため、歯科医院や自宅でのプラークコントロールによって、早くて2〜3週間程度で症状が収まります。
軽度の歯周炎
歯と歯茎の隙間が3~5mm程度である軽度の歯周炎になると、歯周病原菌は歯周組織にまで侵入します。歯槽骨や歯根膜が破壊され始めるので、歯と歯茎の隙間がより深くなるのが特徴です。歯周ポケットに入り込んだプラークは歯石となり、歯周病原菌の住み家になります。
中等度の歯周炎
歯と歯茎の隙間が4〜7mm程度である中等度の歯周炎になると、歯槽骨は半分程度まで溶け、歯のぐらつきを感じ始めます。歯槽骨の破壊に伴って歯肉が後退するので、歯が長くなったように見え、見た目に影響が出始めるのも特徴です。
歯が浮いているように感じたり、硬い物が噛みづらくなったりするので、日常生活にも支障をきたします。歯周ポケットの奥深くまでプラークや歯石が入り込んでいるので、歯ブラシでは届くことすらできません。
重度の歯周炎
歯と歯茎の隙間が6mm以上ある重度の歯周炎は、歯槽膿漏とも呼ばれます。歯槽骨の破壊が半分以上進み、歯はぐらぐらの状態です。炎症を起こしている部分からは膿が出るため、口臭がさらに酷くなります。

歯槽膿漏の割合は、55歳を超えたあたりから急激に増加し、75歳以上の後期高齢者では5人に1人が歯槽膿漏を患っています。歯を抜歯するケースがあるだけでなく、治療費も高額になるので、重度に至る前に歯科医院を受診してください。
初期の歯周病を悪化させる6つの悪習慣

炎症が歯周組織にまで及んでいない初期段階の歯周病では、比較的治療が容易です。しかし、初期段階では自覚症状がほとんどないので、以下のような悪習慣があると一気に進行が早まります。
- ストレスを溜め込んでいる
- 口呼吸をしている
- 歯ぎしりの癖がある
- 糖分の多い食生活を送っている
- タバコを吸っている
- 歯磨きを怠っている
それぞれの悪習慣を見直し、歯周病原菌が増殖しづらい口内環境を作りましょう。
ストレスを溜め込んでいる
現代社会において、ストレスを全く感じずに生きている方は少ないのではないでしょうか。人がストレスに晒されていると、交感神経が優位になり、唾液の分泌量が減少します。すると、唾液による洗浄力や殺菌力が低下するので、歯周病原菌が増殖するのです。
また、ストレスによって血管が収縮し、血流が悪くなります。血流が悪いと、免疫力も低下するので、歯周病原菌の活動が活発化します。ストレスを感じている状態が持続しないよう、適度に休息をとるようにしてください。
口呼吸をしている
鼻呼吸ではなく口呼吸の習慣がある場合も、口内が乾燥しやすくなるので、歯周病を進行させる要因になります。また、歯周病が進行すると口臭が酷くなりますが、口呼吸の習慣があると、さらに原因菌が増殖して、口臭の悪化を招きます。口呼吸は無意識に行っていることが多いので、以下のような自覚がある方は、歯科医院で治療を受けましょう。
- 口内炎が頻繁にできる
- 起床時に喉が乾く
- 滑舌が悪いと言われる
- 唇がよく乾燥する
- 歯並びが悪い
歯ぎしりの癖がある
歯に大きな負担がかかる歯ぎしりの習慣があると、歯周病による歯周組織への炎症を助長します。特に歯周炎にまで進行している場合は、歯槽骨の吸収速度を早める結果になるのです。
睡眠時に歯ぎしりの癖がある方は、横向き寝やうつ伏せ寝をせずに、枕を低くするようにしてください。活動時に癖がある方は、極力リラックスして過ごすよう心掛けるのがおすすめです。
糖分の多い食生活を送っている
歯周病菌は糖分をエサにしてどんどん増殖していくので、糖分の多い食生活を送っている方は注意が必要です。また、一度に摂る糖分量は少なくても、間食が多い場合は、その分プラークが溜まりやすくなります。チョコレートやアイスといったデザート・お菓子を控えると共に、食後の歯磨きを徹底するようにしましょう。
タバコを吸っている
タバコから出る有害物質は、血管を収縮させ、歯茎の血液量を減少させます。血液の循環が悪くなり、歯茎に十分な酸素が行き届かなくなると、歯周ポケットに潜む歯周病原菌が繁殖します。また、タバコの有害物質が肺まで届くことで、抵抗力を弱め、歯周病原菌が活発に動くようになるのです。
そして、長期間の喫煙は、歯周病の症状に気付くのを遅らせます。喫煙によって血管収縮が起こると出血しづらくなるので、歯茎からの出血も起こりにくいです。
歯磨きを怠っている
日常の歯磨きを怠り、プラークが口内に残っていると、歯周病原菌による炎症が慢性的に起こります。歯磨きで落とせていたはずのプラークも、歯周ポケットが深くなるにつれて、セルフケアでは落としづらくなります。
プラークが歯石化すると、歯磨きでは除去できません。症状を自覚して歯磨きを意識し始めた頃には、歯石やプラークが歯周ポケットの奥深くに入り込み、歯周病の進行が加速する事態にまで発展する可能性もあります。
歯周病を初期で食い止めるための治し方とは

初期段階の歯肉炎は、プラークや歯石を除去することによって治ります。自宅のセルフケアも重要ですが、歯周ポケットに入り込んだプラークは、歯科医院で除去してもらう必要があるでしょう。歯科医院で行われる、主な治療法は以下のとおりです。
[table “161” not found /]歯周病が重度まで進行している場合は、外科処置や抜歯が行われるケースも少なくありません。当院では、重度の歯周病を口腔内の細菌から腸内細菌に至るまで、根本治療できる「トータルヘルスプログラム(THP治療)」を導入しております。
歯周病を発症しないためにできる3つの予防法

全身疾患にも繋がる恐れがある歯周病は、発症させないための対策が重要です。以下の3つの予防法を日常生活で意識してみてください。
- 日々のブラッシングを徹底する
- 定期的にクリーニングを受ける
- 生活習慣を見直す
それぞれ詳しく解説します。
日々のブラッシングを徹底する
普段のブラッシングで十分に磨けているつもりでも、磨き残しがあることがほとんどです。まずは、歯周ポケットに毛先があたりやすいようヘッドが小さく、プラークを落としやすいようある程度の硬さがある歯ブラシを選びましょう。
ブラッシングは、以下のようなポイントに気を付けてみてください。
- 歯と歯茎の間に、歯ブラシを45度の角度で当てる
- 歯がでこぼこしている所は、歯ブラシを縦に当てる
- 一筆書きのように順番に磨いていく
定期的にクリーニングを受ける
細菌が集まってできる膜であるバイオフィルムや歯石、歯周ポケットの奥に入り込んだプラークは、自宅でのブラッシングでは除去できません。定期的に歯科医院でクリーニングを受けることで、口内を清潔な状態に保てます。
また、歯周病は初期症状が出にくいので、定期的に診てもらうことで、歯周病を早期発見できます。普段のブラッシング方法の指導も受けられるので、歯周病予防に定期的なクリーニングは欠かせません。歯周病予防について詳しく知りたい方は、こちらの記事もご覧ください。
関連記事:歯周病を予防する10の方法とは?歯周病予防に役立つアイテムも紹介
生活習慣を見直す
先述した通り、生活習慣は歯周病の発症や悪化に大きく関係しています。以下のような対策を取ることで、生活習慣を改善してみてください。
- 栄養バランスのとれた食事を摂る
- アルコールやたばこを控える
- 睡眠時間を十分確保する
- ストレスを適度に発散する
歯周病の初期に関するよくある質問

最後に、歯周病の初期症状について、よくある質問を紹介します。
- 歯周病の初期症状の写真は?
- 歯周病を発症すると見た目でわかる?
- 歯周病の自分でできる治し方はある?
それぞれ詳しく見ていきましょう。
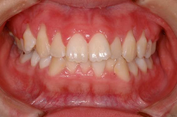
歯周病の初期症状の写真は?

初期の歯周病では、歯肉が腫れてぷくぷくした感触になります。歯茎が健康な時のピンク色と比較すると、赤みがかっているのが分かるでしょう。歯と歯茎の隙間に付いているプラークが原因で炎症を起こしているのです。
歯周病を発症すると見た目でわかる?
歯周病が進行すると歯を支えている骨(歯槽骨)が溶け、歯肉が退縮するので、歯が長く見えます。また、歯と歯の間が広がったように見えるのも特徴です。歯茎の色もピンクから赤へと変化するので、周りに気付かれることもあるでしょう。
見た目で気付かれなかったとしても、歯周病の進行に伴い口臭が強くなるので、周りから口が臭うと思われてしまう可能性があります。このように、歯周病は周りからの見られ方にも影響しかねない病気ですので、初期症状がある方は早急に受診しましょう。
歯周病の自分でできる治し方はある?
初期段階の歯肉炎であれば、歯槽骨の吸収が起こっていないため、丁寧なブラッシングで症状が緩和する可能性があります。歯周病の自宅での治し方が知りたい方は、こちらの記事もチェックしましょう。
関連記事:歯周病の治し方は?自宅での歯磨きでは治せない理由と3つの予防方法
しかし、歯周病の原因となるプラークが歯周ポケットの奥深くまで入り込んでいたり、歯ブラシでは除去できない歯石が溜まっていたりする場合は、歯科医院でのクリーニングが必要です。定期的に歯科医院に通院し、セルフケアでは除去できない汚れを掃除してもらいましょう。
まとめ|歯周病の初期症状が疑われたら歯科医院へ

歯周病は初期症状がほとんどない感染症です。歯周病原菌の温床となるプラークや歯石が口内に溜まることで、炎症を引き起こします。歯周病の症状は、腫れや痛みから歯のぐらつき、脱落へと遷移していきます。
歯周病の発症・悪化を招く要因として最も気を付けるべきなのは、怠った歯磨きにより食べカスが口内に残り続けることです。毎日のブラッシングを徹底するだけでなく、歯科医院で定期的にクリーニングを受けることで、口内の清潔な状態を維持しましょう。
当院では、歯周病の進行度合いに合わせて適切な治療法を提案させていただきます。患者様の負担を最小限にしたレーザー治療やスケーリングなどによって、プラークや歯石を除去します。THP治療では、重度の歯周病を根本から治療することが可能です。
当院の初期から重度までの歯周病治療が気になる方は、下記のページをご覧ください。
